Αρχικό στάδιο ψωρίασης - θεραπεία, αιτίες, συμπτώματα και πρόληψη

αρχικό στάδιο της ψωρίασης

Η ψωρίαση είναι μια χρόνια νόσος του δέρματος που χαρακτηρίζεται από μια πορεία που μοιάζει με κύμα. Τις περισσότερες φορές, η ψωρίαση εκδηλώνεται ως μια συγκεκριμένη δερματική βλάβη, η οποία μπορεί να εντοπιστεί σε οποιαδήποτε περιοχή του δέρματος.

Η αρχική ψωρίαση δεν μπορεί πάντα να αναγνωριστεί αμέσως. Ωστόσο, αυτό είναι δυνατό εάν προσέξετε έγκαιρα τα χαρακτηριστικά συμπτώματα. Εάν συμβουλευτείτε έγκαιρα έναν δερματολόγο, η ανάπτυξη του εξανθήματος μπορεί να επιβραδυνθεί και να σταματήσει. Επομένως, είναι σημαντικό να γνωρίζουμε ποια σημάδια υποδηλώνουν την παρουσία παθολογίας.

Αιτίες ψωρίασης. Αρχικό στάδιο

Δεν υπάρχουν αξιόπιστα στοιχεία για αυτό το θέμα. Η ψωρίαση δεν είναι μια πλήρως κατανοητή ασθένεια. Ωστόσο, υπάρχουν γνωστοί παράγοντες που μπορούν να συμβάλουν στην εμφάνισή του:

  • γενετική προδιάθεση (μεταξύ των πιο κοινών παραγόντων).
  • δυσλειτουργία του ανοσοποιητικού συστήματος (επίσης συχνά προκαλεί την εμφάνιση ψωρίασης).
  • ενδοκρινικά προβλήματα?
  • πρόσφατη στρεπτοκοκκική λοίμωξη (πονόλαιμος)
  • η παρουσία χρόνιων ασθενειών (ειδικά φλεγμονωδών).
  • κακές συνήθειες όπως ο εθισμός στο αλκοόλ και το τσιγάρο.
  • συχνό στρες.

Η ψωρίαση μπορεί να εντοπιστεί σε άτομα οποιουδήποτε φύλου και ηλικίας. Ωστόσο, συχνότερα άτομα άνω των 25-30 ετών είναι ευαίσθητα σε αυτό.

Συμπτώματα του αρχικού σταδίου

Με την ψωρίαση στο αρχικό στάδιο, τα συμπτώματα είναι ήπια. Ωστόσο, μπορείτε να τα παρατηρήσετε.

Για να κατανοήσετε πώς ξεκινά η ψωρίαση, θα πρέπει να δώσετε προσοχή στα ακόλουθα τυπικά συμπτώματα:

  • Αυξημένη ξηρότητα και ξεφλούδισμα του δέρματος. Ένα άτομο αισθάνεται δυσφορία στο δέρμα στους αγκώνες, στα γόνατα, στο κάτω μέρος της πλάτης και στο τριχωτό της κεφαλής. Ωστόσο, αυτές οι περιοχές μπορεί να διαφέρουν από περίπτωση σε περίπτωση.
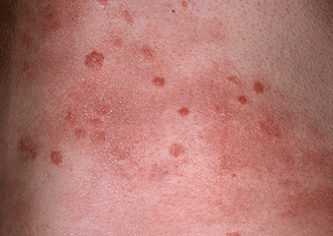
  • Παρουσία συγκεκριμένων εξανθημάτων. Τυπικές για την ψωρίαση είναι μικρές ροζ-κόκκινες βλατίδες (επίπεδες, ελαφρώς ανυψωμένα στοιχεία εξανθήματος πάνω από το επίπεδο του δέρματος) με σαφή όρια, που συγχωνεύονται σταδιακά μεταξύ τους.
  • Λεπίδες στην επιφάνεια του εξανθήματος. Έχουν ασημί ή υπόλευκο χρώμα. Αφαιρούνται εύκολα από τα εξανθήματα, αλλά αυτό μπορεί να οδηγήσει στο σχηματισμό ρωγμών ή στην εμφάνιση δυσάρεστων υποκειμενικών αισθήσεων.

Σε ορισμένους τύπους ψωρίασης ("φλυκταινώδη"), το εξάνθημα μπορεί να μην έχει τη μορφή κηλίδων, αλλά με τη μορφή μικρών κυρτών σχηματισμών με πυώδες περιεχόμενο στο εσωτερικό. Στη φωτογραφία της αρχικής μορφής ψωρίασης μπορείτε να δείτε πώς εκδηλώνονται διαφορετικοί τύποι ψωρίασης και τα συμπτώματά τους.

Με την ψωρίαση των νυχιών, το εξάνθημα επηρεάζει κυρίως την πλάκα. Σε αυτή την περίπτωση, τα αρχικά σημάδια είναι τα εξής:

  • ο σχηματισμός μικρών βαθουλωμάτων στα νύχια (το σύμπτωμα της «δακτυλήθρας»)
  • αλλαγές στη δομή της πλάκας νυχιών - το νύχι πυκνώνει και γίνεται εύθραυστο
  • αλλαγή στο χρώμα της πλάκας των νυχιών - το νύχι μπορεί να αποκτήσει κίτρινη απόχρωση, κάτω από το νύχι εμφανίζονται πορτοκαλοκόκκινες κηλίδες
  • πάχυνση του δέρματος κάτω από το νύχι.
  • χαλαρότητα της πλάκας και το ξεφλούδισμα της (όχι πάντα).
  • μικρές σκούρες διαμήκεις γραμμές κάτω από την πλάκα του νυχιού (μη ειδικό σύμπτωμα, που προκύπτει από αιμορραγία κάτω από την πλάκα του νυχιού)
  • ερυθρότητα της τρύπας του νυχιού.

Φωτογραφίες από τα συμπτώματα του αρχικού σταδίου της ψωρίασης θα σας βοηθήσουν να πλοηγηθείτε καλύτερα.

Τα πρώτα συμπτώματα είναι αρκετά ασαφή και δεν εκδηλώνονται ξεκάθαρα. Επιπλέον, μοιάζουν με τα συμπτώματα κάποιων άλλων δερματολογικών παθήσεων, που μπορεί να οδηγήσουν σε δυσκολίες στη διάγνωση. Για το λόγο αυτό, είναι εξαιρετικά σημαντικό να κλείσετε άμεσα ένα ραντεβού στο νοσοκομείο - για πιο ακριβή διάγνωση.

Όλα τα στάδια της ψωρίασης

Υπάρχουν τρία βασικά στάδια στην ανάπτυξη της νόσου:

  • Αρχικό ή προοδευτικό στάδιο. Πολυάριθμες μικρές βλατίδες εμφανίζονται στο δέρμα. Ένα χαρακτηριστικό γνώρισμα αυτού του σταδίου της νόσου είναι η εμφάνιση εξανθημάτων σε περιοχές πρόσφατου τραύματος του δέρματος. πώς φαίνεται η ψωρίαση στα αρχικά στάδια φαίνεται στη φωτογραφία.
  • προοδευτικό στάδιο της ψωρίασης
  • Ακίνητος. Τα εξανθήματα γίνονται μεγαλύτερα σε μέγεθος και αρχίζουν να συγχωνεύονται μεταξύ τους, σχηματίζοντας μεγάλες πλάκες με ασαφή περιγράμματα. Δεν εμφανίζονται νέα στοιχεία του εξανθήματος, αλλά ένας μεγάλος αριθμός λεπιών σχηματίζεται στην επιφάνεια του εξανθήματος.
  • Τελικός. Το εξάνθημα αρχίζει να μειώνεται και σταδιακά υποχωρεί από μόνο του. Μπορεί να αφήσει πίσω του ελαφρά μελάγχρωση, η οποία θα εξαφανιστεί από μόνη της με την πάροδο του χρόνου, ή μια περιοχή πιο ανοιχτού χρώματος σε σύγκριση με το περιβάλλον υγιές δέρμα.

Συχνά προκύπτει το ερώτημα - "η ψωρίαση φαγούρα στα αρχικά και στα τελευταία στάδια"; Για την ψωρίαση, ο κνησμός είναι ένα αχαρακτηριστικό σύμπτωμα. μπορεί να μην υπάρχει.

Με κάθε έξαρση, η ασθένεια περνά και από τα τρία στάδια με τη σειρά. Ωστόσο, εάν η θεραπεία ξεκινήσει στην αρχή του πρώτου σταδίου, η εξέλιξη του εξανθήματος μπορεί να αποφευχθεί.

Για τους περισσότερους ανθρώπους, τα συμπτώματα είναι κυκλικά. Συνήθως κατά το επόμενο ξέσπασμα επιμένουν για αρκετές εβδομάδες και στη συνέχεια σταδιακά εξασθενούν και εξαφανίζονται. Η μορφή της αρχόμενης ψωρίασης καθορίζει πώς φαίνονται οι φωτογραφίες και τα πραγματικά συμπτώματα

Θεραπεία του αρχικού σταδίου της ψωρίασης

Όταν εντοπίσετε τα πρώτα ύποπτα σημάδια, πρέπει να επικοινωνήσετε με έναν δερματολόγο.

Η ψωρίαση σε πρώιμο στάδιο απαιτεί ελάχιστη θεραπεία με φάρμακα. Κυρίως εξωτερικά.

Συνήθως χρησιμοποιούνται:

  • Μη ορμονικές αλοιφές και κρέμες. Αποτελούν τη βάση της θεραπείας, καθώς μπορούν να χρησιμοποιηθούν σε οποιοδήποτε στάδιο της νόσου, συμπεριλαμβανομένης της ύφεσης. Δρουν απαλά και συχνά δεν έχουν παρενέργειες. Ανακουφίζουν το ξεφλούδισμα, την ερυθρότητα, τις υποκειμενικές αισθήσεις και επιβραδύνουν τις φλεγμονώδεις διεργασίες.
  • Ορμονικές αλοιφές και κρέμες. Στο αρχικό στάδιο της νόσου, χρησιμοποιούνται, κατά κανόνα, για σοβαρή φλεγμονή ή ειδικό τύπο ψωρίασης (εξιδρωματική). Αυτά τα φάρμακα μπορούν γρήγορα να αντιμετωπίσουν τη φλεγμονή στην πληγείσα περιοχή του δέρματος. Ωστόσο, οι ορμονικές αλοιφές και κρέμες δεν είναι κατάλληλες για συνεχή χρήση καθώς μπορεί να προκαλέσουν παρενέργειες με παρατεταμένη χρήση. Οι φωτογραφίες θα δείξουν καλύτερα την έκταση του πώς ξεκινά η ψωρίαση - τόσο σε ενήλικες όσο και σε παιδιά.
  • Ενυδατικά τζελ και κρέμες. Καταπραΰνει και μαλακώνει το δέρμα. Μπορεί να χρησιμοποιηθεί ως πρόσθετη φροντίδα.
  • Συμπλέγματα βιταμινών. Ένα πρόσθετο μέτρο για την υποστήριξη της δύναμης και της αντοχής του σώματος στις ασθένειες. Πρώτα απ 'όλα, η βιταμίνη Α χρησιμοποιείται για την ψωρίαση, καθώς επηρεάζει την κυτταρική διαίρεση των κυττάρων του δέρματος και τη διαδικασία σχηματισμού λεπιών. Στο προοδευτικό στάδιο της νόσου, τα πολυβιταμινούχα σύμπλοκα, κατά κανόνα, δεν συνταγογραφούνται.
  • Φυσικοθεραπευτικές διαδικασίες. Ιδιαίτερα αποτελεσματικό στα αρχικά στάδια. Συχνότερα συνταγογραφούνται φωτοθεραπεία (UVB ή PUVA), καθώς και έκθεση excimer σε ακτίνες UV και λέιζερ.

Στις περισσότερες περιπτώσεις, τα φάρμακα συνταγογραφούνται από γιατρό. Μπορούν να χρησιμοποιηθούν πολλά φάρμακα σε συνδυασμό. Εάν τα σημάδια της νόσου είναι ήπια, μπορείτε να κάνετε χωρίς από του στόματος φάρμακα και να χρησιμοποιήσετε μόνο εξωτερικά μη ορμονικά σκευάσματα.

Πρόληψη του αρχικού σταδίου της ψωρίασης

Τα προληπτικά μέτρα βοηθούν στην καθυστέρηση των εκδηλώσεων της νόσου και ως εκ τούτου παρατείνουν την περίοδο ύφεσης. Εάν ακολουθήσετε τους κανόνες πρόληψης απευθείας κατά τη διάρκεια μιας επίθεσης, θα βοηθήσουν στη μείωση των συμπτωμάτων και στην επιτάχυνση της ανάρρωσης.

Τα βασικά προληπτικά μέτρα είναι:

  • Αποβολή του στρες. Ή ελαχιστοποίησή του. Το άγχος διαταράσσει σε μεγάλο βαθμό τη λειτουργία του νευρικού συστήματος, γεγονός που επηρεάζει σοβαρά τη γενική κατάσταση του οργανισμού. Για να αντιμετωπίσετε καλύτερα τη συναισθηματική σας διάθεση, μπορείτε να εγγραφείτε σε ένα μάθημα ψυχοθεραπείας. Τα μαθήματα μπορεί να είναι ατομικά ή ομαδικά.
  • Διατροφή. Η διατροφή πρέπει να είναι υγιεινή, ισορροπημένη και να περιέχει υποαλλεργικά τρόφιμα. Η βάση του μενού είναι πρωτεΐνες, ωμά λαχανικά και γαλακτοκομικά προϊόντα που έχουν υποστεί ζύμωση. Θα πρέπει να αποφεύγετε τα πρόχειρα τρόφιμα όπως τα γλυκά και τα αρτοσκευάσματα. Τα τηγανητά και καπνιστά τρόφιμα, τα πικάντικα και πολύ αλμυρά τρόφιμα και οι κονσέρβες δεν είναι επίσης ευπρόσδεκτα. Στο Διαδίκτυο μπορείτε να βρείτε φωτογραφίες της ψωρίασης στην αρχή της νόσου και μετά την καθιέρωση μιας δίαιτας.
  • Πίνετε πολλά υγρά. Συνήθως συνιστάται να πίνετε 1,5-2 λίτρα καθαρού νερού την ημέρα. Ωστόσο, είναι σημαντικό να εστιάσετε στα συναισθήματά σας και να μην ακολουθείτε τυφλά τις συστάσεις.
  • Συμπλέγματα βιταμινών. Συνιστάται οι βιταμίνες να συνταγογραφούνται από γιατρό - μετά από εξετάσεις.
  • Τρόπος. Το φαγητό, το ξύπνημα και ο ύπνος πρέπει να είναι σε ένα πρόγραμμα. Αυτό διευκολύνει το σώμα να διατηρήσει τη σωστή δραστηριότητα. Συνιστάται να σηκώνεστε και να πηγαίνετε για ύπνο νωρίς.
  • Καθαρός αέρας. Είναι σημαντικό να κάνετε βόλτες στον καθαρό αέρα κάθε μέρα. Μειώνει το στρες και είναι γενικά ευεργετικό για τον οργανισμό.
  • Περιποίηση δέρματος. Αξίζει να χρησιμοποιείτε τακτικά μαλακτικές και ενυδατικές κρέμες. Ειδικά μετά από θεραπείες νερού.
  • Άνετα ρούχα και παπούτσια. Κατασκευασμένο από φυσικά μαλακά υλικά. Τα παπούτσια πρέπει να εφαρμόζουν σωστά και τα ρούχα πρέπει να είναι φαρδιά.
  • Τακτικές διαβουλεύσεις με γιατρό. Και εξετάσεις. Αυτό θα σας βοηθήσει να παρακολουθείτε την κατάσταση του σώματός σας και να αυξήσετε την πιθανότητα πρόληψης της ψωρίασης.

Έτσι, οι φωτογραφίες των συμπτωμάτων της ψωρίασης του δέρματος στο αρχικό και στα επόμενα στάδια δείχνουν ξεκάθαρα την ενόχληση αυτής της ασθένειας. Επομένως, αξίζει να φροντίζετε για την πρόληψη.

Είναι σημαντικό να θυμόμαστε ότι στη συντριπτική πλειονότητα των περιπτώσεων, η ψωρίαση εκδηλώνεται ως αποτέλεσμα έντονου στρες. Επομένως, πρώτα απ 'όλα, είναι σημαντικό να φροντίζετε για μια αρμονική κατάσταση του νου και την καθημερινή ρουτίνα.